Wurzelkanalbehandlung für langfristigen Zahnerhalt:
So erhalten wir Ihre natürliche Zahnsubstanz trotz Entzündung.
Eine entzündete Zahnwurzel ist unangenehmen, schmerzhaft und beeinträchtigt das gesamte Wohlbefinden. Denn Entzündungsherde im Kiefer können schwere Folgen für Mundgesundheit und Allgemeinbefinden haben. In der Zahnarztpraxis Dr. Karin Hitzelsberger führen wir bei einem solchen Fall eine schonende und professionelle Wurzelbehandlung durch, um den betroffenen Zahn zu erhalten.
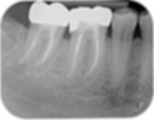
Ist Ihr Zahnnerv entzündet, entfernen wir das erkrankte Gewebe und reinigen den Zahn und die Wurzelkanäle sorgfältig, um Bakterien, die die Entzündung hervorrufen, nachhaltig zu entfernen. Im nächsten Schritt füllen wir die Wurzelkanäle und versiegeln den Zahn. So wird einer neuerlichen Infektion vorgebeugt und der Zahn kann noch lange erhalten bleiben.
Wie sieht die moderne Wurzelbehandlung aus?

Wenn längere Zeit unbemerkt Bakterien über eine Karies oder einen Sprung im Dentin, der bis zur Nervkammer geht, in das Nervengewebe eindringen und dieses abtöten, können Zähne mithilfe einer Wurzelbehandlung häufig noch gerettet werden.
Ziel dieser Maßnahme ist es, den stark entzündeten oder toten Zahnnerv zu entfernen, das Innere des Zahnes zu säubern und die gereinigten Wurzelkanäle danach wieder zu füllen. Gerade unbehandelte Entzündungen können weitere Infektionen von Knochen und Gewebe im Körper auslösen.
Übrigens: Nicht jede Entzündung eines Wurzelkanals ist schmerzhaft. Manchmal können Entzündungen des Zahnmarks auch nahezu schmerzlos sein. Meist besteht gerade dann die Gefahr, dass die Schädigung so weit fortgeschritten ist, dass eine selbstständige Ausheilung nicht mehr möglich ist.
Wie kann ich erkennen, ob ich eine Wurzelbehandlung brauche?
In der Regel wird das vom Zahnarzt festgestellt. Wenn Sie jedoch schon wissen, dass ein Zahn eine große Karies hat und dieser Zahn auch noch aufbissempfindlich ist, können Sie mit sehr großer Wahrscheinlichkeit davon ausgehen, dass eine Wurzelbehandlung nötig sein wird. Dank neuester technischer Möglichkeiten kann der Zeitraum einer Wurzelbehandlung im Gegensatz zu früher deutlich verkürzt werden. In unserer Praxis führen wir die Wurzelkanalbehandlung deshalb zeitgemäß mit modernster Technik durch.
